- 当院のホワイトニング
- 歯医者で行うオフィスホワイトニング
- 当院のオフィスホワイトニング
- 自宅で行うホームホワイトニング
- デュアルホワイトニング
- セルフホワイトニングについて
- 当院のホワイトニングの流れ
- ホワイトニングの費用
- ホワイトニングの症例
当院のホワイトニング
「白くてきれいな歯にしたい」とお考えの方は多くいますが、ホワイトニングをして白くなり過ぎることに不安を感じている方もまた同じくいらっしゃいます。
なかむら歯科クリニックでは、不自然ではない歯の白さを追求して納得頂ける仕上がりを目指していますので、ホワイトニングに興味がある方はお気軽にご来院ください。
ホワイトニングは、専用のジェルで歯を内側から白くしていく医療行為のため、歯科衛生士が対応いたします。通常の歯のクリーニングは歯の表面に付着した汚れを落としていきますが、ホワイトニングは歯自体を白くしていきます。
なかむら歯科クリニックのホワイトニングでは、「オフィスホワイトニング」「ホームホワイトニング」「デュアルホワイトニング」の施術を行っております。
患者様の生活習慣やどの程度白くしたいかをお伺いし、最適な方法をご案内いたします。
オフィスホワイトニングは
このような方におすすめ
- 歯科衛生士に施術してもらいたい方
- 自宅で行うホームホワイトニングだと根気が続かないかもしれないと思われる方
ホームホワイトニングは
このような方におすすめ
- 自分のタイミングでホワイトニングがしたい方
- 知覚過敏が気になる方(オフィスホワイトニングと比べ染みにくい)
- ランニングコストを抑えたい方(色が後戻りしても、ジェルだけを購入すればホワイトニング可能です)
歯医者で行うオフィスホワイトニング
オフィスホワイトニングは、歯科医院で歯科衛生士が施術するホワイトニングです。歯科のプロフェッショナルが濃度の高いホワイトニング専用のジェルを使って行います。
ホワイトニング専用のお薬を塗布してLED照射機を照射していき、施術時間は60~90分程かかります。
自宅で行うホームホワイトニングだと根気が続かないと思われる方にお勧めです。
一旦白くなった歯は、もとの色にだんだんと後戻りします。白さを継続させるには、1年ごと(個人差あり)にホワイトニングを行うと効果的です。
メリット
- ホワイトニングを歯科衛生士に全て任せられる
- 知覚過敏といった症状が出た際、すぐ対処してもらえる
デメリット
- ホームホワイトニングに比べ、色の後戻りが速い
- ホームホワイトニングより濃い濃度のジェルを使うのでしみる可能性がある
当院のオフィスホワイトニング
ポリリン酸ホワイトニング
ホワイトニングと同時に歯の表面をコーティングし、歯質強化とステインの再付着を防止する特徴があります。
メリット
- ポリリン酸の効果により、歯質が強化される
- 知覚過敏が出にくい
- ポリリン酸によって歯の表面がコーティングされるため、施術直後からコーヒーやカレーなど色が付きやすい物も飲食可能
デメリット
- 1回では満足のいく白さになりにくいため、数回(個人差あり)の施術が必要な場合が多い
ティオンホワイトニング
1回の施術でホワイトニングの効果が高い。
記念日間近などで急いでいる方などに特におすすめです。
メリット
- 1回の施術で白くなるのを実感できる
デメリット
- 色の後戻りが早い
- 知覚過敏が出やすい
- 施術後24時間はコーヒーや赤ワイン、カレーなど色の濃いものの飲食を控える必要がある
自宅で行うホームホワイトニング
ホームホワイトニングは患者様がご自宅で行うホワイトニングのことです。
患者様に合わせて作ったマウストレーに専用のジェルを注入し、お口の中に取り付けます。ホームホワイトニングで使うジェルは低濃度のため、歯は徐々に白くなっていきますが、色の後戻りが少ないのがメリットです。1日1時間のホワイトニングを10日間続けて頂きます。知覚過敏の出やすい方などは、1日2時間のホワイトニングを2週間かけて行うタイプのものもございます。お口の中の状態や、希望をお聞きしてから選んで頂くこともできます。施術方法や注意点などを事前にしっかり説明いたしますので、ホワイトニングが初めてでもご安心してご利用頂けます。
メリット
- オフィスホワイトニングに比べ、色の後戻りが少ない
- 少しずつ白くなるので、希望の白さを目指しやすい
- 自分のタイミングで施術できる
- オフィスホワイトニングに比べ低濃度なジェルなので、しみにくい
デメリット
- 白くなるまで10日~2週間を要する
- 自分で行う必要がある
- 施術後24時間はコーヒーや赤ワイン、カレーなど色の濃いものの飲食を控える必要がある
デュアルホワイトニング
デュアルホワイトニングは、オフィスホワイトニングとホームホワイトニングを併用したホワイトニングで、当院でも受けて頂けます。白さが早く実感できるオフィスホワイトニングと色の後戻りが少ないホームホワイトニングのメリットを掛け合わせることで、より満足感の高いホワイトニングが行えます。
なかむら歯科クリニックでは、オフィスホワイトニング + ホームホワイトニングで施術可能です。
セルフホワイトニングについて
セルフホワイトニングの薬剤成分は、歯医者で行われるホワイトニングとは異なり、主に歯の表面の汚れを落とすための成分(重曹、炭酸カルシウム、メタリン酸 など)が用いられます。加えてLED照射器を使うことで薬剤の効果を高めていますが、歯医者で受けられるホワイトニングのような漂白効果はありません。
セルフとオフィス、薬剤の違い
歯科衛生士が行うオフィスホワイトニングは医療行為にあたり、歯医者のみで取り扱える劇薬の過酸化尿素や過酸化水素が使われます。また、医療機器である照射器を使うことで薬剤の効果を高めます。
劇薬や、医療用照射器の取り扱い・販売は薬事法で管理されていますので、医療行為ができないサロンでは歯そのものを漂白するホワイトニングを受けることはできません。
当院のホワイトニングの流れ
オフィスホワイトニングのおおまかな流れ
-
- 虫歯のチェック、全体のクリーニングを受けていただきます。
(虫歯などがあれば治療してからとなります。)
オフィスホワイトニングの説明をいたします。 - 後日来院していただき、オフィスホワイトニングの施術となります。
歯の色を確認し、開口器をお口に取り付け、ホワイトニング前の写真を撮ります。
ホワイトニング専用のジェルを塗り、光を照射します。
お薬を拭き取ります。
これを3回繰り返します。
歯の色を確認し、ホワイトニング後の写真を撮ります。
開口器を外し終了です。
- 虫歯のチェック、全体のクリーニングを受けていただきます。
知覚過敏の症状があれば対応致します。
次回、ホワイトニングを希望される場合は定期検診を受けて頂いてからの施術となります。
(虫歯などがあれば治療してからになります。)
ホームホワイトニングのおおまかな流れ
- 虫歯のチェック、全体のクリーニングを受けていただきます。
(虫歯などがあれば治療してからとなります。)
ホームホワイトニングの説明をいたします。
患者様専用のマウストレー作成のため、歯全体の型取りをします。 - 後日、出来上がったマウストレーを装着していただき、痛い部分が無いかなどを確認し、ホワイトニング前の写真を撮ります。
ご自宅でのマウストレーと専用ジェルの使い方をご説明いたします。
ご自宅でホワイトニングしていただきます。 - 2~3週間後、来院していただきホワイトニング後の歯の色を確認し、ホワイトニング後の写真を撮り終了です。
知覚過敏の症状があれば対応致します。
次回、ホワイトニングを希望される場合は定期検診を受けていただいてからの施術となります。
(虫歯などがあれば治療してとなります。)
ホームホワイトニングは、マウストレーを保管しておいてもらうと、専用のジェルを購入していただくだけでホワイトニングを再開していただけます。
詳しくは歯科衛生士にお尋ねください。
ホワイトニングの費用
※全て税込価格です。
オフィスホワイトニング
|
ポリリン酸ホワイトニング(1回ではホワイトニング効果が低いため2回の施術がおすすめです) |
|
|---|---|
| 60分 1回目(歯質強化とホワイトニング) | ¥12,000 |
| 60分 2回目以降(ホワイトニングのみ) | ¥10,000 |
| ティオンホワイトニング | |
| 90分 | ¥22,000 |
ホームホワイトニング
|
ホームホワイトニング (マウストレー・薬剤10日分) |
¥22,000 |
|---|---|
| タッチアップ(追加薬剤5日分) | ¥4,400 |
※ 知覚過敏の出やすい方はジェルの濃度が低いものもございます。ご希望であれば対応致しますのでご相談ください。
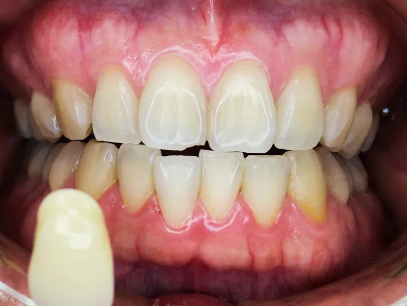
ホワイトニングの症例
ポリリン酸ホワイトニング(1回目)
| 治療名 | ポリリン酸ホワイトニング(1回目) |
|---|---|
| 説明 | 医院にて約1時間かけてホワイトニングを行いました。 1回目なので、歯質強化の施術も行いました。 |
| 治療期間 | 1日 |
| 副作用・リスク | だんだんと色が後戻りしますので、時期をみて再度ホワイトニングされることをお勧めしました。 |
| 費用(税込) | ¥12,000 |
ポリリン酸ホワイトニング(2回目)
| 治療名 | ポリリン酸ホワイトニング(2回目) |
|---|---|
| 説明 | 医院にて約1時間ホワイトニングを行いました。 |
| 治療期間 | 1日 |
| 副作用・リスク |
だんだんと色が後戻りしますので、時期をみて再度ホワイトニングされることをお勧めしました。 |
| 費用(税込) | ¥10.000 |
ティオンホワイトニング
| 治療名 | ティオンホワイトニング |
|---|---|
| 説明 | 医院にて90分かけてホワイトニングを行いました。 |
| 治療期間 | 1日 |
| 副作用・リスク |
だんだんと色が後戻りしますので、時期をみて再度ホワイトニングされることをお勧めしました。 |
| 費用(税込) | ¥22,000 |








